Docteur Jean de Malbosc
Chirurgien dentiste Omnipratique, Implantologie, Parodontologie et Esthétique
Docteur Jean de Malbosc
Chirurgien dentiste Omnipratique, Implantologie, Parodontologie et Esthétique

Pôle d'activités Hyèrois 1128, route de Toulon
83400 HYERES

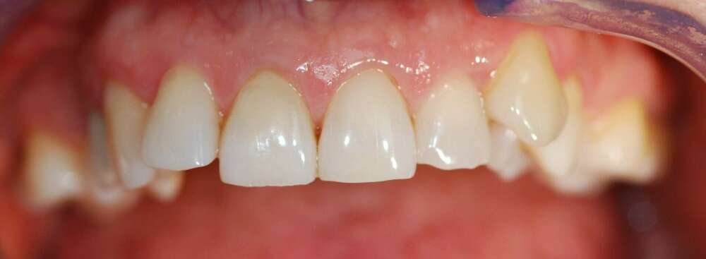
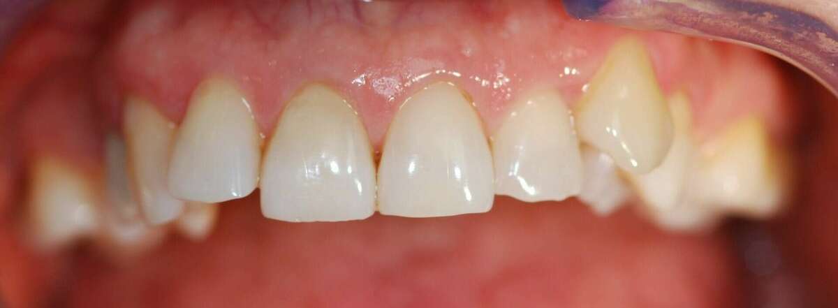
BLANCHIMENT DENTAIRE- DOCTEUR JEAN DE MALBOSC


Le blanchiment d'une incisive centrale dévitalisée

AVANT

APRÈS