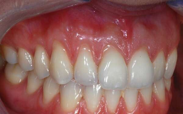
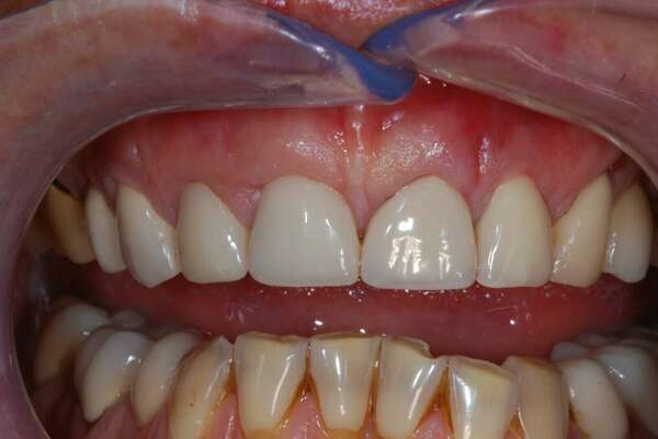
Correction du déchaussement à l'aide d'une greffe
gingivale
Fiches conseils
Correction du déchaussement à l'aide d'une greffe de gencive
Les micro-réveils nocturnes peuvent être le signe d'une apnée du sommeil avec obstruction respiratoire. Si vous êtes concerné, consultez rapidement pour retrouver un sommeil serein !
Un cabinet dentaire est très consommateur de ressources en énergie et en matériel. Or, le respect de l’environnement est devenu l’affaire de tous.
Quel que soit le type d’appareil (amovible ou fixe), les bons gestes d’hygiène bucco-dentaire sont un gage de réussite de votre traitement.
Le parodonte est l’ensemble gencive / os / ligament qui soutient les dents. Son inflammation peut avoir des répercussions sur la santé en général.
Le Cerec est un système de restauration dentaire à base de céramique, réalisé directement au cabinet grâce à la CFAO.
La méthode MIMI®-Flapless (Méthode d’Implantation Minimalement Invasive) désigne une technique de chirurgie implantaire sans ouverture de la gencive.
Un souci dentaire survenant lorsque vous êtes à l’étranger peut très vite se compliquer en cas de problème de communication avec le praticien consulté.
La quantité de fluor présente dans les eaux minérales est très variable et il est important pour vous de bien la connaître.
Invisalign® est un traitement orthodontique basé sur le port successif d’une série de gouttières transparentes.
Testez vos connaissances, et trouvez les réponses aux questions sur votre santé bucco-dentaire.












