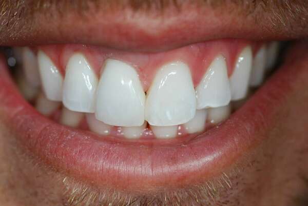
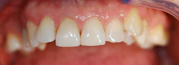
Fine pellicule de céramique collée sur les dents préparées à minima.
Fiches conseils - Page 12
Fine pellicule de céramique collée sur les dents préparées à minima.
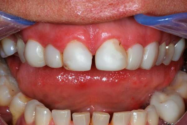
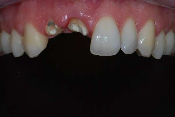
Suite à un accident de trampoline, la dent n'a pas pu être conservée. Une
couronne en céramique supportée par un implant a permis au patient de
retrouver son sourire.
Affichage des articles 133-137 sur 137





